ヒアルロン酸
ヒアルロン酸とは
| ヒアルロン酸はもともと体内に存在する成分のひとつです。保水力が高いため、肌のハリや弾力を維持する役割を持っています。 加齢と共に皮膚のヒアルロン酸が減少するために、ハリや弾力がなくなり、しわが形成されています。 皮膚にヒアルロン酸を注入することでしわの溝を持ち上げて、ハリのある肌に導きます。 注入直後に「しわが伸びた!」という実感が得られるのもヒアルロン酸治療の魅力です。 |
![]() |
ヒアルロン酸の種類
ヒアルロン酸は製品により、粒子の大きさや硬さが異なります。
鹿児島三井中央クリニックでは、部位やしわの深さなどに応じて患者様に合うヒアルロン酸をご提供しています。
| 種類 | 適応 | 持続期間 |
| ジュビダームビスタ ウルトラプラスXC | しわ・くぼみ | 12ヶ月前後 |
| ジュビダームビスタ ボリフトXC | しわ・くぼみ | 12~18ヶ月前後 |

ヒアルロン酸の注入部位

しわ・たるみ・くぼみにヒアルロン酸を注入

ジュビダームビスタ ウルトラプラスXC
ジュビダームビスタ ウルトラプラスXCとは
「ジュビダームビスタ® ウルトラプラスXC」は、全てのしわ治療のために作られたヒアルロン酸です。
アラガン社独自のHYLACROSS™技術で自然な仕上がりと長期間の効果持続を実現しました。
この最先端技術によって製造されたヒアルロン酸の特徴は顆粒感がなく、なめらかな質感ため自然な仕上がりを実現できます。
ヒアルロン酸注入材として、厚生労働省から初めて承認された安全性の高い製品です。

ジュビダームビスタ ウルトラプラスXCの特徴
- 自然な仕上がり
ジュビダームビスタ® ウルトラシリーズは、なめらかで均質な材質、均一な押出し特性で、自然な仕上がりが期待できます。 - ジュビダームビスタ® 及びゲル粒子懸濁注入材の拡大写真

- 治療効果が長続き
ジュビダームビスタ® ウルトラシリーズは、凝集性の3Dマトリックス構造で、酵素分解されにくく、治療効果が約1年続きます注)。
※:ALLERGAN社調べ - 日本の厚生省承認のヒアルロン酸
ジュビダームビスタ ウルトラプラスXCは、国内で初めて製造販売承認を取得しているヒアルロン酸注入剤です。 また、フランス製造工場から日本のアラガンジャパンへそして当院に納品されるまで、その流通において厳しい温度管理下に置かれています。

ジュビダームビスタ ボリフトXC
ジュビダームビスタ ボリフトXCとは
「ジュビダームビスタ® ボリフトXC」は、アラガン社製「ジュビダームビスタ」VYCROSS(バイクロス)シリーズの製品です。
高分子ヒアルロン酸と低分子ヒアルロン酸が効率良く架橋統合され、密度の高い網目構造をしています。この密度の高さにより長期持続と、ヒアルロン酸の保水性質による注入後のむくみが低減されます。個人差はありますが「ジュビダームビスタ® ボリフトXC」は約12~18ヵ月効果が持続します。
また局所麻酔の一種であるリドカインが配合されており、注入時の痛みが低減されます。「ジュビダームビスタ® ボリフトXC」は滑らかで柔らかさもあり、法令線や頬のくぼみ、浅い部分などに最適なヒアルロン酸になっています。厚生労働省から承認された安全性の高い製品です。

ジュビダームビスタ ボリフトXCの特徴
- 顔の組織になじみやすく表情に合わせた自然な仕上がりが可能です。
- 膨潤しにくく優れた成形性により、イメージに沿った仕上がりが期待できます。
- 柔らかく滑らかなテクスチャーで、約1年半以上の効果を持続します。
- 厚生労働省認可のヒアルロン酸。
ヒアルロン酸注入の治療時間とアフターケア
| 治療時間 | 約10分 |
| 通 院 | 必要ありません。 |
| 経 過 | まれに皮下出血がでることもありますが、3~5日ほどでおちついてきます。 腫れることはほとんどありません。 ヒアルロン酸は時間と共に吸収されていくため、定期的な注入をおすすめします。当日より洗顔、メイクが可能です。 |
治療費
| ジュビダームビスタ ウルトラプラスXC |
| 1.0cc | 99,000円 |
| ジュビダームビスタ ボリフトXC |
| 1.0cc | 99,000円 |
表記はすべて税込価格です。
ビスタシェイプ(VISTA-Shape)

ビスタシェイプとは
老化によって皮膚にできる深いしわや溝は、その部分だけが凹むのではなく、周囲の組織が下垂などにより移動し、顔全体の立体的な構造が変化することによってできます。そのため、しわや溝の直下だけではなく、これら立体的な変化の原因となるポイントにヒアルロン酸注入材を注入するアプローチが重要になります。
ビスタシェイプでは、中顔面(目の下から口付近まで)を中心に、少量ずつのヒアルロン酸注入材を注入し、周囲の構造を立体的に改善することによって、鼻唇溝やマリオネットラインを含む顔面全体の改善が期待できます。


ビスタシェイプにおける注入エリアと注入量の目安
ビスタシェイプは、顔全体のポイントとなる箇所に適切な量のヒアルロン酸注入材を注入し、顔全体の印象を改善する治療法です。
具体的には、ヒアルロン酸注入材を、中顔面エリアを中心に注入します。実際に、どのエリアにどれだけの量を注入するかは、施術を受ける人の下垂などの状態や骨格によって異なり、医師が全体的なアセスメントを行ったうえで判断します。下図に示す各エリアに、個々の状態によって適切な量が注入します。どのエリアにどれだけの量を注入するかは、施術を受ける人の下垂などの状態や骨格によって異なり、医師が全体的なアセスメントを行ったうえで判断します。

治療費
• 国内で唯一承認を受けたアラガン社製品を使用
| ビスタシェイプ |
| ライト (中顔面 or 下顔面のみ) 目安 1cc 〜 1.5cc |
110,000円 |
| スタンダード (中顔面 + 下顔面) 目安 2cc 〜 2.5cc |
198,000円 |
| ワイド (顔全体) 目安 3cc 〜 3.5cc |
297,000円 |
表記はすべて税込価格です。
ヒアルロン酸注入の症例写真
ほうれい線 ヒアルロン酸注入


施術の解説
ほうれい線 ヒアルロン酸注入 3cc
施術時間 約10分
通院の必要はありません
洗顔やメイクは施術直後より可能です
施術の副作用
稀に皮下出血が出ることもありますが、3~5日ほどで落ち着いていきます
ヒアルロン酸は時間と共に吸収されていくため、定期的な注入をおすすめします
施術費用
194,400円(税込)
執刀医
院長 中野 知治
施術名 : ほうれい線 ヒアルロン酸注入
治療内容 : 専用の注射器またはカニューレ(鈍針)を使用し、医師が注入部位・深さを調整しながら、適切な量を注入します。
治療期間・回数 : 約10分
費用 : 99,000円
リスク・副作用 : 赤み、腫れ、内出血、痛み、かゆみ、感染、アレルギー反応、しこり・硬結、血流障害(塞栓)、色素沈着などの副作用が生じる可能性があります。
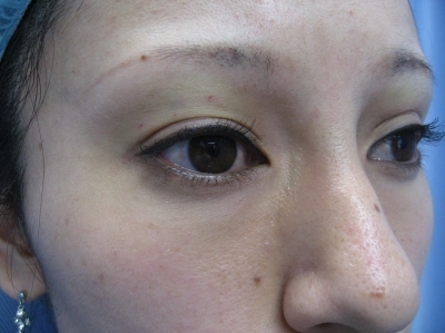
目の上くぼみ ヒアルロン酸注入


施術の解説
目の上くぼみ ヒアルロン酸注入
施術時間 約10分
通院の必要はありません
洗顔やメイクは施術直後より可能です
施術の副作用
稀に皮下出血が出ることもありますが、3~5日ほどで落ち着いていきます
ヒアルロン酸は時間と共に吸収されていくため、定期的な注入をおすすめします
施術費用
262,500円(税込)
執刀医
院長 中野 知治
施術名 : 目の上くぼみ ヒアルロン酸注入
治療内容 : 専用の注射器またはカニューレ(鈍針)を使用し、医師が注入部位・深さを調整しながら、適切な量を注入します。
治療期間・回数 : 約10分
費用 : 99,000円
リスク・副作用 : 赤み、腫れ、内出血、痛み、かゆみ、感染、アレルギー反応、しこり・硬結、血流障害(塞栓)、色素沈着などの副作用が生じる可能性があります。

